강아지 급성췌장염 증상과 치료,밥 거부·무기력 단순 장염이 아닐 수 있습니다|울산 이승진동물병원 내과
페이지 정보

본문
어제까지만 해도 잘 뛰어다니던 아이가
갑자기 밥을 거부하고 축 처져 있다면,
단순 소화불량이 아니라 강아지 급성췌장염일 수도 있습니다.
강아지 급성췌장염 밥을 안먹고 설사까지 한다면?
울산 이승진동물병원―내과케이스

이번에 내원한 친구는
식욕 저하와 활동성 감소·설사 증상을 보이며
병원을 찾았습니다.
겉으로 보기에는 단순 장염처럼 보일 수 있었지만
정밀 검사를 진행한 결과 강아지 급성췌장염이 의심되는 상황이었습니다.
18살이라는 나이를 고려했을 때,
작은 변화도 가볍게 볼 수 없는 상황이었습니다.
췌장염은 진행 속도가 빠르고
전신 상태에 영향을 줄 수 있기 때문에
초기 평가와 집중 치료가 매우 중요한 질환입니다.


이번 환자 역시 식욕 저하와 활동성 감소·설사 증상이 동반되었습니다.
이러한 변화는 강아지 급성췌장염에서 매우 흔하게 관찰됩니다.
하지만 이 아이는 18살 노령견이었기 때문에
보다 신중한 평가가 필요했습니다.

사실 췌장염은 한 가지 원인으로 생기기보다는
여러 요인이 복합적으로 작용하는 경우가 많습니다.
강아지 급성췌장염 진단 과정
췌장염은 증상만으로 확진이 어려워
혈액검사와 영상검사를 함께 평가해야 합니다.
혈액검사에서는
CRP 수치 상승 → 전신 염증 반응
CPL 수치 상승 → 췌장 특이 지표
가 확인되었으며 이는 강아지 급성췌장염을
강하게 시사하는 결과였습니다.
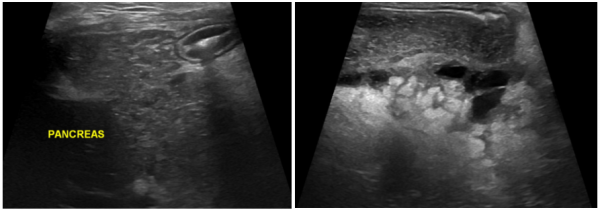
초음파 검사에서는
-췌장 종대
-실질의 불균질 변화
-주변 복막 지방 염증
-복수 소견이 확인되었습니다.
이러한 변화는 중증 강아지 급성췌장염에서 흔히 관찰됩니다.
강아지 급성췌장염 치료 방법
췌장염은 특정 '완치 약'이 있는 질환이 아니라
염증이 가라앉을 때까지 몸을 지지해주는 치료가 핵심입니다.

이번 환자는 입원 치료를 진행하였으며
전신 상태를 집중 모니터링하면서 관리하였습니다.
다행히 상태가 안정되어 퇴원이 가능했습니다.
18살 노령견임에도 빠른 내원과 집중 치료로 회복할 수 있었습니다.
적절한 시기의 치료가 강아지 급성췌장염의 예후를 크게 좌우합니다.
―
강아지 급성췌장염은 단순 장염처럼 보일 수 있지만
빠르게 악화될 수 있는 질환입니다.
특히 갑작스러운 식욕 저하·무기력 구토나 설사 증상이 보인다면
지체하지 말고 검사를 받아보는 것이 중요합니다.
조기에 발견하고 적절히 치료하면 회복 가능성은 충분히 높습니다.
반려동물은 아파도 말을 하지 못합니다.
평소와 다른 작은 변화라도 느껴지신다면
그 신호를 놓치지 않는 것이 가장 큰 보호입니다.
이승진동물의료센터는
아이들이 안전하게 회복할 수 있도록
정확한 진단과 세심한 치료로 함께하겠습니다.
노령견은 작은 변화도 크게 이어질 수 있는 만큼,
나이와 기저 상태를 충분히 고려한 정밀 진료로
보호자님이 안심하실 수 있도록 돕겠습니다.
관련링크
- 이전글강아지 뱀물림 증상과 대처법, 산책 중 뱀에게 물렸어요|울산 이승진동물병원 26.04.01
- 다음글고양이 파행, 관절염만 의심하셨나요? 놓치기 쉬운 ‘고양이 슬개골 탈구’ |울산 이승진동물병원 마이캣클리닉 26.03.17


Blog
Kakao Talk
Instagram




