발치만이 답일까? 치조골 소실이 있는 강아지 치아 보존 치료 [GBR/GTR 사례]
페이지 정보

본문
강아지가 양치할 때 피가 나거나
앞니가 흔들리는 모습을 본 적 있으신가요?
이런 변화는 단순 잇몸 문제를 넘어
치조골 소실의 초기 신호일 수 있습니다.
예전에는 이런 경우 대부분 발치를 해야 했지만,
지금은 강아지 치아를 살릴 수 있는
재생치료(GBR/GTR)가 선택지가 되고 있습니다.
안녕하세요 이승진동물의료센터입니다.
8살 된 콩이(가명)는 최근 양치할 때
상악 앞니 쪽 출혈이 보이고,
치아가 흔들리는 증상으로 병원에 내원했습니다.
2살·5살 때 스케일링을 진행했고
평소 보호자님께서 꾸준히 양치를 해주셨음에도,
최근에는 산책이나 흥분 시
침을 많이 흘리는 모습까지 나타났습니다.
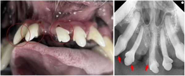
[치아·잇몸 상태 점검 GBR/GTR(치조골 재생술) 전 점검]
상악 앞니 주변에서 치조골 소실이 확인되며
잇몸과 치아 사이 공간이 생긴 것이 문제의 시작이었습니다.
방사선 검사 결과, 201·102·103번 치아는
치조골 손실이 심해 발치 후 봉합 치료가 필요했습니다.
이 부위의 치아는 흔들림도 있었고
강아지 치아를 지지하는 구조가 많이 약화된 상태였습니다.
우측 어금니에서는 육안으로
치주염과 치조골 소실이 뚜렷하게 보였습니다.
방사선상 107·108·110번 치아는
· 치조골 50% 이상 소실
· furcation involvement(화살표) Class 3 이상
이 경우 강아지 치아 보존이 매우 어렵기 때문에 발치 후
봉합이 가장 안전한 선택이었습니다.
반면 좌측 어금니는 상황이 다르게 나타났습니다.
207번 치아 distal root와
208번 치아 mesial root 부위에서
치조골 소실은 있었으나,
· 치조골 손실 50% 미만
· 치아 유동성 없음
· furcation involvement 없음
즉, 강아지 치아를 살릴 수 있는 조건이었고,
보호자님과 상의 후 발치 대신 GBR/GTR 보존치료로 결정했습니다.
GBR/GTR(치조골 재생술) 이란?
치조골이 손실되었다고 해서 치아를 발치해야 하는 것은 아닙니다
GBR/GTR은 치조골을 재생해 치아를 살리는 치료 방식으로
다음 절차로 진행됩니다.
1. 잇몸 절개 후 염증 조직 제거
2. 치근면 정리
3. 필요한 부위에 뼈 이식재 적용
4. 차폐막(barrier membrane)을 덮어 뼈가 재생할 공간 확보
5. 봉합
강아지는 사람보다 치조골 재생 능력이 좋다는 점도 장점입니다!
[진행한 치아 치료 과정 GBR/GTR(치조골 재생술)]
치아를 보존할 수 있는 좌측 어금니 부위는
다음과 같은 방식으로 보존 치료를 시행했습니다.
→ 해당 치아의 잇몸을 분리 후,
염증 조직을 제거하고 치은연하 스케일링을 진행한 뒤
→ 뼈 이식재를 해당 부위에 이식하고
차폐막을 삽입한 뒤 안전하게 봉합하였습니다.
"예전에는 치아 상태가 나쁘면
바로 발치를 권하는 경우가 많았지만,
지금은 치조골 재생술로 강아지 치아를
더 오래 유지할 수 있는 치료가 가능해졌습니다!"
[치과 리포트 제공 시스템]
울산 이승진동물병원에서는
수술 후 치과 방사선 사진, 발치 부위, 최종 치아 상태를
정리한 리포트를 보호자님께 발송해드리고 있습니다.
사진과 설명이 함께 담긴 리포트를 통해
보호자님들께서 치료 과정을 쉽게 이해하고,
이후 관리까지 정확히 진행하실 수 있습니다.
강아지 치아는 한 번 빠지면 다시 자라지 않기 때문에,
출혈·흔들림·침 흘림·입 냄새와 같은
초기 신호를 놓치지 않는 것이 매우 중요합니다.
위의 증상들이 나타나면 조기에 검사하여
* 발치해야 하는 치아와
* 보존 가능한 치아를
정확히 구분해 치료할 수 있습니다.
―
울산 이승진동물병원은
치과 방사선, 발치, 봉합, 치조골 재생술(GBR/GTR) 등
강아지 치아 전문 진료 시스템을 갖추고 있습니다.
일상 생활에서 강아지에게 치아 출혈이나 흔들림이 느껴진다면
조기 검진으로 강아지 치아 건강을 지켜주세요.
관련링크
- 이전글혈뇨·기력저하 강아지, 방광결석 실제 수술사례|울산 이승진동물병원 25.12.22
- 다음글강아지 이물 섭취, 구토와 식욕저하의 원인이 될 수 있어요|이승진동물의료센터 25.12.15


Blog
Kakao Talk
Instagram




