CT
최첨단 기기와 영상 전공의의 세심한 판독으로
안전하고 정확한 진단을 약속드립니다.

LEE ANIMAL MEDICAL CENTER
CT
CT 검사를 통해 일반적인 방사선 상에서 확인할 수 없는 3차원적인 volumetric image를 구현하여 mm 단위의 작은 병변에 대한 감별과 정교한 3D 영상을 통해 선천적인 장기 또는 혈관 기형, 종양 및 전이 평가, 근골격계 질환, 비강/두개골 질환 등 다양한 질환의 진단에 사용될 수 있습니다.

LEE ANIMAL MEDICAL CENTER
Canon 16ch Aquilion Start의 premium 성능
캐논 고유의 기술인 sure Exposure로 부위와 체형에 따른 자동 선량 조절이 가능하여 동급 CT 대비 절반 수준의 방사선량으로 고사양의 영상을 획득할 수 있어 보다 안전한 촬영이 가능합니다.
마취가 어려운 환자 혹은 짧은 범위를 촬영하는 환자에서 무마취 촬영이 가능합니다.
LEE ANIMAL MEDICAL CENTER
CT 촬영으로 어떤 질환을 파악할 수 있을까요?
흉부 및 복부 CT
선천적 흉강 및 복강 내 혈관 기형, 상/하부 호흡기 질환, 종양 및 전이 평가, 이소성 요관 등
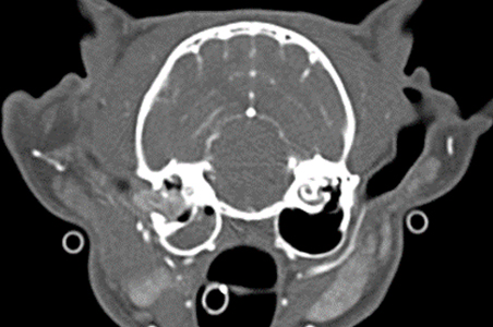
두부 CT
두개 골절, 중/내이염, 비강 내 염증 및 종양, 안구 및 안와 내 병변, 갑상선 종양 등
근골격계 CT
선천적 기형, 발달상의 근골격계 질환, 근골격계 종양, 퇴행성 관절염 등

울산광역시 남구 삼산로 94 이승진동물의료센터 052-258-2516 | 사업자등록번호 : 610-17-66073
Copyright(C)2021 LEE ANIMAL MEDICAL CENTER. ALL RIGHTS RESERVED.