중재시술
본원의 심장·신장(투석)센터는
응급 케이스와 중환자 관리에 특화되어 있습니다.
LEE ANIMAL MEDICAL CENTER
통증은 적고 회복은 빠른 중재시술!
시술 중 영상장비를 사용하여 개흉,개복 수술 없이 시술로 치료하는 최신 치료법으로 최소절개, 최소 마취로 시술 후 회복 속도가 빠릅니다.
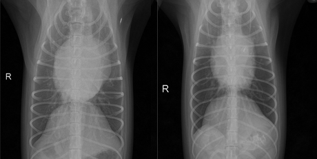
1. 심혈관중재치료
심혈관 중재치료란 대퇴동맥/경정맥 혈관 접근으로 심장의 구조 이상을 교정/치료하거나 심장 사상충 중감염 환자에서 약물치료가 위험하거나 불가능한 경우 사상충을 직접 제거하는 등 혈관을 경유하여 심장과 관련된 문제점을 치료하는 것입니다. 일반적인 개흉수술에 비하여 환자의 회복속도가 매우 빠르며, 합병증도 최소화 할 수 있는 장점이 있습니다.

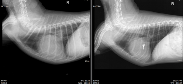
2. MMVD V-clamp (심장판막수술)
V-clamp는 이첨판을 물리적으로 잡아주어 이첨판 역류량을 줄여주는 시술입니다. 심장이 스스로 뛰는 상태에서 중재적 치료를 기반으로 하는 하이브리드 수술법으로 개심술에 비해 훨씬 안전합니다.

3. 호흡기계 중재치료
내과적 치료로 관리가 가능한 기관 허탈에서 심화된 기관 협착의 정도가 심해지면 기침, 과호홉, 좌위호흡 등 호흡곤란과 청색증을 보입니다. 이러한 환자들에게 호흡을 위한 공간을 만들어주기 위해 기관에 스텐트를 삽입하여 기관을 확장하는 시술을 합니다. 본원에서는 대부분의 환자에게 적용 가능한 강아지 기관 전용 스텐트를 사용하며 숙련된 전문의가 시술을 진행합니다.

4. 종양 중재치료
동맥혈관을 통해서 종양에 분포하는 혈관으로 항암약제의 직접 주입과 색전물질 주입으로 암세포를 사멸시키는 치료법입니다. 종양 초기 환자부터 수술적 적출이 불가능한 난치성 암환자까지 적용이 가능하며, 비수술적으로 암을 치료하는 최신 치료법입니다. 환자 상태에 따라서 동맥항암요법, 동맥색전술, 동맥색전화학술 등을 조합하여 선택적 치료를 진행하게 됩니다.


울산광역시 남구 삼산로 94 이승진동물의료센터 052-258-2516 | 사업자등록번호 : 610-17-66073
Copyright(C)2021 LEE ANIMAL MEDICAL CENTER. ALL RIGHTS RESERVED.