정형외과
국내 최다 시술 경험으로
최상의 결과를 만들어 갑니다.
LEE ANIMAL MEDICAL CENTER
연간 500건 이상, 누적 10000건 이상의 정형수술경험!
아이들이 수술 후 더 잘 걷길 바라는 마음으로 수술합니다
LEE ANIMAL MEDICAL CENTER
이승진동물의료센터는 수술의 전 과정을 함께합니다
예약 후 내원하시면 주치의와 슬개골 상담을 진행합니다. 아이의 탈구 단계를 촉진으로 파악하고, 현재 상태와 수술에 관해 안내를 드립니다.
촉진 이외에도 정확한 상태 파악과 수술 가능 여부를 확인하기 위해 혈액검사, 심전도, 방사선, 초음파 등 수술에 필요한 검사를 시행합니다. *나이와 상태에 따라 검사가 추가될 수 있습니다.
1차 상담과 수술 전 검사를 토대로 수술이 가능한 경우, 현재 상태 안내 및 수술 예약을 진행합니다. 수술은 검사 결과가 유효한 2주 안에 이루어집니다.
예약된 수술 날, 수술 전후로 진행 연락을 드립니다. 외과 대표 원장님이 직접 집도하며, 수술은 대체로 한 시간 이내로 진행됩니다. (양측 슬개골 기준)
수술 후 3일 입원을 하며, 입원하는 동안 기본 재활 (레이저, icing)과 무통 주사를 이용한 통증 관리 등이 가능합니다. 원칙적으로 퇴원 3일 후 재진, 7일 후 실밥 제거를 하고 있으며 상태에 따라 재진 일자가 변경될 수 있습니다. 이후 요청에 따라 추가 재진과 재활 치료를 위한 내원이 이뤄지고 있습니다.
LEE ANIMAL MEDICAL CENTER
슬개골 탈구 수술법
본원에서는 같은 슬개골 탈구라고 해서 모든 환자들에게 획일적인 수술법을 시행하지 않습니다. 상담과 진단을 통해 파악한 탈구 및 변형 정도에 따라 환자들에게 가장 적합한 수술법으로 수술을 시행합니다.
양측 슬개골 탈구
양측 4등급 슬개골 탈구 교정 (DFO) 및 좌측 십자인대 교정
슬개골 활차구 치환술
BASIC 수술법
· 활차구성형술
· 경골결절변위술
· 지대중첩술
대퇴골절골술 (DFO)
대퇴골 변형이 심한 경우, 추가적으로 시행
활차구 치환술 (PGR)
슬개골 탈구 교정 시 필요한 활차구가 망가지거나
일반적인 수술이 불가능할 때 인공적으로 활차구를
만들어주는 수술법
LEE ANIMAL MEDICAL CENTER
정형외과 케이스
본원은 실력 있는 전문 의료진과 최첨단 시설로 정형외과에서 좋은 예후들을 보여드리고 있습니다. 강아지에게서 쉽게 발생하는 슬개골 탈구, 십자인대 단열 뿐 아니라 다양한 고난도 케이스를 다루고 있으며, 특히 골절 수술은 회복률이 높고 타원 수술 후, 유합부전으로 본원에 내원하여 재수술에 성공한 사례가 많습니다.
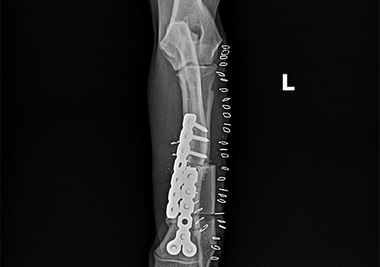
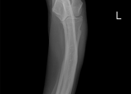
요골 골절 수술 전
요골 골절 수술 후
십자인대 파열 수술 전
십자인대 파열 수술 후
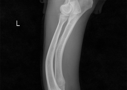
요척골 복합만곡기형 수술 전
요척골 복합만곡기형 수술 후
요척골 복합만곡기형 수술 전
요척골 복합만곡기형 수술 후
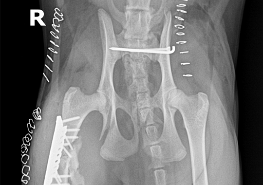
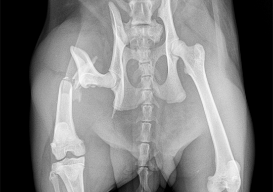
대퇴골 복합골절 및 천장골분리골절 전
대퇴골 복합골절 및 천장골분리골절 후
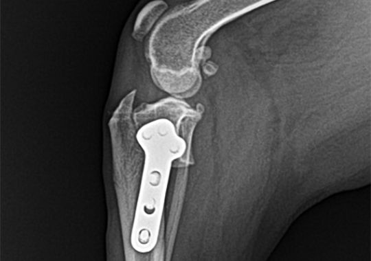
타원 실패 수술 후 2차 수술 전
타원 실패 수술 후 2차 수술 후

울산광역시 남구 삼산로 94 이승진동물의료센터 052-258-2516 | 사업자등록번호 : 610-17-66073
Copyright(C)2021 LEE ANIMAL MEDICAL CENTER. ALL RIGHTS RESERVED.