진료케이스

보호자의 마음을 알고
생명의 가치를 존중합니다. 

LEE ANIMAL MEDICAL CENTER

진료케이스

반려견이 눈을 찡그리거나 충혈이 지속된다면? 강아지 난치성 각막궤양 SCCED 치료 사례

페이지 정보

profile_image
작성자 이승진동물의료센터
댓글 0건 조회 271회 작성일 25-10-23 11:54

본문

반려견이 눈을 자꾸 찡그리거나

충혈이 오래 지속된다면,

단순한 결막염이 아니라

강아지 난치성 각막궤양 SCCED일 수 있습니다.


233d2ab594539c87d758cd603a350982_1761187971_9796.jpg
 

안녕하세요. 울산 이승진동물병원입니다.

오늘은 요크셔테리어 보리의 치료 과정을 통해

이 질환에 대해 자세히 알려드리겠습니다.


보호자님은 보리가 몇 개월 전부터

우안의 지속적인 충혈

눈을 찡그리는 증상이 있어 내원하셨습니다.


​그간 일반적인 각막궤양 치료를 위한

안약 처방을 받았으나 호전이 없어

정밀한 안과 검사를 원하셨습니다.


-


전반적인 안과 검사 결과


233d2ab594539c87d758cd603a350982_1761187999_5286.png
233d2ab594539c87d758cd603a350982_1761187999_6523.png
 

보리의 우안에서는 각막혈관신생,각막부종,

그리고 'halo' 형광염색이 관찰되었습니다.

이는 SCCED (난치성 각막궤양)에서

흔히 보이는 특징적인 소견입니다.

또한, 눈물 분비량이 부족해지는

KCS(건성각결막염)도 동반되어 있었습니다.


/


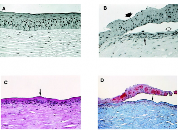
난치성 각막궤양 SCCED란?

SCCED (Spontaneous Chronic Corneal Epithelial Defect)


SCCED(Spontaneous Chronic Corneal Epithelial Defect)

각막 상피와 각막 살질

서로 불량하게 붙어 있는 상태를 말합니다.


233d2ab594539c87d758cd603a350982_1761188023_709.png
 


그림과 같이 각막의 상피가 실질에 붙어있지 않고

너덜거리며 붙어있는 것이 특징입니다.


건강한 눈이라면 표층성 각막궤양

보통 일주일 이내에 치유되지만,

SCCED의 경우 상피가 유착되지 않아 

치료가 어렵고 재발 가능성이 높습니다.



SCCED는 3가지 증상으로 확진을 합니다.

233d2ab594539c87d758cd603a350982_1761188051_0444.png



강아지 난치성 각막궤양 SCCED 치료


SCCED 치료Diamond burr debridement 시술

Bandage Lens 착용입니다.

느슨하게 붙어 있는 각막 상피세포를 정밀하게 제거해줍니다.


전신마취 없이 진행 가능하며, 통증이 거의 없습니다.

시술 이후 Bandage Lens 착용으로

각막상피재생을 돕고 통증을 낮춰줍니다.


233d2ab594539c87d758cd603a350982_1761188072_2171.png
 


→시술 후 보리는 ​bandage lens 를 착용하고,

  각막궤양과 KCS를 위한 안약 및 내복약 처방을

  함께 진행했습니다.



치료 1개월 후 눈 상태 


233d2ab594539c87d758cd603a350982_1761188086_5999.png
 

→ 각막혈관신생과 각막 부종이 현저히 개선​되었으며

형광염색 검사에서도 음성 결과가 확인되었습니다.

수개월간 지속되던 우측 눈의 충혈 역시 사라져

현재 건강한 상태를 유지하고 있습니다.


-​


강아지에서 반복적으로 재발하는 각막궤양

단순 각막궤양이 아닐 수 있습니다.


울산 이승진동물병원전문 안과 장비와

안과 전담 수의사가 상주하고 있어,

정확한 진단과 맞춤 치료가 가능합니다.

울산광역시 남구 삼산로 94 이승진동물의료센터 052-258-2516 | 사업자등록번호 : 610-17-66073
Copyright(C)2021 LEE ANIMAL MEDICAL CENTER. ALL RIGHTS RESERVED.