강아지 눈에 빨간 혹이 보여요, 강아지 결막 혈관육종 치료 사례 | 울산 이승진동물병원
페이지 정보

본문
반려견 눈에 빨간 혹이 보인다면
단순한 염증이나 작은 결막 종양이 아니라
혈관육종(Hemangiosarcoma)일 가능성도 있습니다
오늘은 결막 혈관육종(hemangiosarcoma)
치료를 진행한 믹스 '별이(가명)'의 치료 사례를
소개해드리겠습니다.
내원당시상태
별이는 8년전 보호소에서 구조한 강아지로 데려오셨을 때부터 우측 안구의 외사시가 있었습니다
최근들어 눈에 빨간 혹이 생겼고 서서히 크기가 커지는 증상으로 내원하셨습니다.
오른쪽 눈은 바깥쪽으로 돌아가는 뚜렷한 외사시 증상을 보였고,
눈 안쪽(내안각)에 붉은색 종괴도 확인되었습니다.
겉보기에는 혈종이나 결막 종양 등이 의심되는 상황이었습니다.
정확한 진단을 위해 우선 수술 일정을 계획하였고,
그 전까지는 안약을 처방하여 경과를 관찰하기로 했습니다.

하지만 안약을 꾸준히 점안했음에도 불구하고,
병변의 크기나 상태에 뚜렷한 호전은 없었습니다.
이에 따라, 보다 정확한 진단과 치료를 위해
결막 절제술을 진행하기로 결정했습니다.
강아지 결막 혈관육종 수술 과정

결막절제술을 통해 별이의 눈 안쪽에 있던 종괴를 안전하게 제거하였고,
제거된 조직은 조직검사를 위해 전문 기관에 의뢰했습니다.
며칠 후 도착한 검사 결과는
결막 혈관육종(Hemangiosarcoma)으로 확인되었습니다.
혈관육종(hemangiosarcoma)이란?
혈관육종은 혈관을 구성하는 세포에서 기원하는 악성 종양으로,
특히 개에서는 가장 치명적인 암 중 하나로 알려져 있습니다.
이 종양은 주로 비장, 심장, 간처럼 혈액이 풍부한 장기에서 발생하며,
전이가 매우 빠르고 예후가 좋지 않은 경우가 많습니다.
하지만, 강아지 결막 혈관육종은 내장형 혈관육종과는 다르게
상대적으로 예후가 좋은 것으로 보고되고 있습니다.
결막 혈관 육종과 혈관육종(hemangiosarcoma) 예후 논문
2021년에 발표된 연구에서는 결막 혈관육종(hemangioma)과
혈관육종(hemangiosarcoma)으로 진단된
총 52마리 강아지의 치료 결과를 분석한 내용이 소개되었습니다.
이 논문에 따르면,
모든 강아지에게 수술적 절제를 시행한 후
재발률은 약 10% 정도로 보고되었습니다.
이는 상대적으로 낮은 수치이며,
강아지 결막 혈관육종은 수술을 통해 잘 관리될 수 있다는 점을 보여줍니다.
하지만 연구에서는 종괴의 크기, 위치, 그리고 조직 침윤 정도에 따라
적절한 수술 방법을 선택하는 것이 매우 중요하다는 점도 함께 강조하고 있습니다.
즉, 단순히 종괴를 제거하는 것을 넘어서 정확한 진단과 맞춤형 수술이
예후에 큰 영향을 줄 수 있다는 뜻입니다.
치료 결과 및 회복
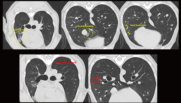
수술 후 별이는 복부 초음파, 그리고 두부 및 흉부 CT 촬영을 통해
종양의 전이 여부를 정밀하게 확인하였습니다.
다행히도 검사 결과, 다른 장기로의 전이는 발견되지 않았습니다.
수술 후 재진 사진에서는 종괴가 깨끗하게 제거되어 있고,
붉게 부풀어 있었던 결막도 정상적인 색과 모양을
되찾은 모습을 확인할 수 있습니다.
정밀 검사까지 마친 만큼,
지금 시점에서 별이는 전신 상태가 매우 양호하다고 판단되었습니다.
무엇보다 이번 치료 과정을 통해
별이가 이렇게 잘 회복할 수 있었던 것은
보호자님의 빠른 대응과 꾸준한 관심,
그리고 병원의 정확한 진단과 치료 계획이
함께 어우러졌기 때문이라고 생각합니다.
/
눈에 보이는 작은 변화가 단순 염증이 아닐 수 있습니다.
특히 결막에 생긴 강아지 결막 혈관육종은
초기 발견과 수술적 제거가 예후에 큰 영향을 줍니다.
울산 이승진동물병원에서는 안과 담당 수의사가 상주하여,
응급 안과 수술부터 정밀 검사, 회복 관리까지 체계적으로 진행하고 있습니다.
반려견 눈에 이상이 느껴지면 수의사와 상담해
적극적인 진단과 치료를 받으세요.
빠른 대응이 아이의 건강을 지키는 가장 중요한 열쇠입니다.
관련링크
- 이전글강아지 피부에 구더기?! 구더기증(승저증)의 원인과 치료 방법 25.11.01
- 다음글전기항암요법(Electrochemotherapy, ECT): 수술이 어려운 종양에 대한 새로운 해답 25.11.01


Blog
Kakao Talk
Instagram






