진료케이스

보호자의 마음을 알고
생명의 가치를 존중합니다. 

LEE ANIMAL MEDICAL CENTER

진료케이스

고양이 치아흡수성병변 치료 사례|울산 고양이치과

페이지 정보

profile_image
작성자 이승진동물의료센터
댓글 0건 조회 100회 작성일 25-12-15 14:51

본문

고양이 치아흡수성병변

단순히 치아가 상하는 문제가 아니라,

치아 구조 자체가 녹아내리는 진행성 치과질환입니다.

특히 진행 정도에 따라 심한 통증을 유발할 수 있어

조기 진단과 치료가 무엇보다 중요합니다.


오늘은 이승진동물의료센터에서 진행한

고양이 치아흡수성병변 치료 사례를 통해

진단 과정부터 치료 후 관리까지 자세히 알려드리겠습니다.

/


아리(가명)는 정기 건강검진을 위해 내원하여 구강검진을 받았습니다.

보호자님께서는 평소 양치할 때 잇몸에서 피가 난다고 말씀해주셨는데요,

진료실에서 시행한 신체검사 결과

치아흡수성병변 (Feline odontoclastic resorption lesions)

의심되는 잇몸의 융기가 확인되었고

정밀한 진단과 치료를 위해 스케일링 및 치과방사선 촬영을 계획하였습니다.


고양이 치아흡수성병변이란?

고양이 치아흡수성병변치아 표면의 시멘트질과 상아질이 점차 파괴되며

결국 치수강까지 손상되는 질환입니다.

치수강이 노출되면 극심한 통증을 동반하며,

밥을 잘 먹지 못하거나 침을 많이 흘리고, 입주변을 자주 핥는 등의 증상이 나타납니다.


dda74ec2cbe3c1a8b77df26586ebe9fb_1765777763_0167.png
 


→ 치과 방사선에서 뚜렷하게

보이는 307번의 치아흡수성병변

주요 원인은 현재 명확하지 않으며

고양잇과 동물에서만 관찰되는 질환입니다.


대표적인 주요 증상

- 식사량이 줄거나 단단한 사료를 피함

- 침 흘림, 구취, 잇몸 출혈

- 얼굴이나 입주변을 만질 때 예민한 반응



고양이 치아흡수성병변의 진단과 치료


dda74ec2cbe3c1a8b77df26586ebe9fb_1765777786_9241.png
→ 우측·좌측 상악 어금니

106,107,109 치아흡수성병변

206,207,209 치아흡수성병변

치과 방사선 촬영에서

육안으로 확인되었던 치아 이외에도

다수의 치아흡수병변이 있는 것으로 확인되었습니다.

고양이 치아흡수성병변

육안으로 확인이 어려운 경우가 많아

치과 방사선 촬영이 필수적입니다.

치아 내부의 흡수 정도와 남아 있는 치근 상태를 정밀하게 평가해야 합니다.


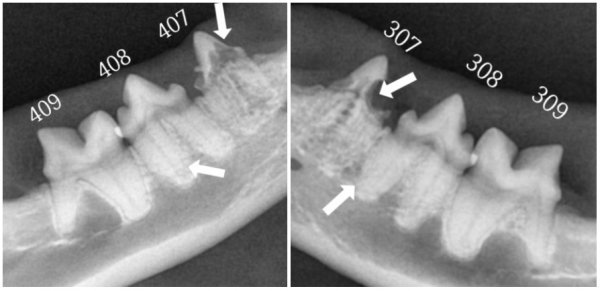
dda74ec2cbe3c1a8b77df26586ebe9fb_1765777801_1516.png
→ 우측·좌측 하악 어금니

407,408 치아흡수성병변

307,308 치아흡수성병변

치아흡수성병변이 확인된 치아는

이미 손상된 치질이 회복되지 않기 때문에

발치를 통해 통증의 원인을 제거해야 합니다.

수술 후에는 남은 치근 여부를 확인한 뒤

치료 부위를 세밀하게 정리하여 감염 위험을 최소화합니다.


dda74ec2cbe3c1a8b77df26586ebe9fb_1765777862_6527.png
 

치료 후 관리와 보호자 안내

치료가 완료된 후에도 잔여 치아의 스케일링 및 발치 부위에 대해

자세한 상담을 받으실 수 있으며

대부분의 보호자님들이 집에 돌아가시면

정확하게 발치한 치아에 대한 정보를 잊어버리시는 경우가 많아 5일 이내

치과 리포트를 작성해 보내드리고 있습니다.

(발치 후 방사선 사진 포함)

이를 통해 치료 전 후 상태를

명확히 확인하실 수 있습니다.


dda74ec2cbe3c1a8b77df26586ebe9fb_1765777874_622.png
 


고양이 치아흡수성병변조기에 발견하지 못하면

통증으로 인한 식욕 저하, 체중 감소, 행동 변화로 이어질 수 있습니다.


"정기적인 구강검진과 스케일링은 질환의 조기 발견에 큰 도움이 됩니다."


/

고양이 치아흡수성병변

초기에는 한두개의 치아로 시작할 수 있으나

결과적으로 해당 치아의 통증으로 인해

다른 치아에도 치주염이나 치은염을 유발하게 되며

전반적인 구강의 건강과 삶에 질에 큰 영향을 미치게 됩니다.

정기적인 구강검진치과 방사선 검사를 통해

조기에 발견하고 치료하는 것이 가장 좋은 예방법입니다.

고양이 치아흡수성병변이 의심된다면

이승진동물의료센터에서

정확한 진단과 맞춤 치료를 받아보세요.

울산광역시 남구 삼산로 94 이승진동물의료센터 052-258-2516 | 사업자등록번호 : 610-17-66073
Copyright(C)2021 LEE ANIMAL MEDICAL CENTER. ALL RIGHTS RESERVED.