안녕하세요
울산 이승진동물병원 외과센터 이재원 부원장입니다.
이번에 소개해드릴 케이스는 강아지 경골 기형 교정 수술입니다.
무슨 말인지 어려우시죠?
강아지 경골 기형 수술 사례를 통해 강아지 경골에 대해 알려드리겠습니다.

강아지 경골 이란?

강아지 경골이란, 흔히 말해서 정강이 뼈를 의미합니다.
위에 사진에서 뒷다리의 무릎 아래쪽에 있는 길다란 뼈가 바로 경골입니다.
흔히 슬개골 탈구 수술 할 때 대퇴골과 경골 이야기를 많이 하는데,
그 때 이야기하는 경골과 동일합니다.

경골의 형태는 정상적으로 위의 사진과 같은 형태로 보여집니다.
종종 어렸을 때 낙상으로 인해 성장판이 다치거나
태어날 때부터 형성이 잘 되지 않아 기형이 유발되는 경우가 있습니다.
이번에 소개드릴 복돌이도
경골 부분에 문제가 있어 걸을 때 해당 다리에 체중을 덜 쓰려고 하고,
관절의 움직임도 제한이 되는 등 아이가 다리를 쓰는 것을 불편해하여
저희 병원을 찾아오게 되었습니다.
수술 전 보행 평가
본원에서는 더 자세한 평가를 위해서
수술 전 보행평가를 진행하고 있습니다.
(*모든 환자에서 진행하지는 않습니다)
보행평가기계를 사용하면
아이가 어느쪽 다리의 체중을 덜 쓰는지,
보폭은 어떻게 하고 걷는지 등의 정보를 객관적으로 얻을 수 있어
미묘한 불편감이 있는 아이들도 잘 캐치할 수 있습니다.
일반 보행 시에는
어느 다리가 불편한지 명확히 보기가 어렵지만
보행분석장비를 사용하면
어느 다리의 힘을 덜 쓰는지를 명확히 알 수 있어서
진단에 많은 도움을 얻을 수 있습니다.

보행분석장비 결과,
복돌이의 오른쪽 뒷다리 숫자가 75로
다른 다리에 비에 확연하게 낮은 힘을 가한다는 것을 알 수 있었습니다.
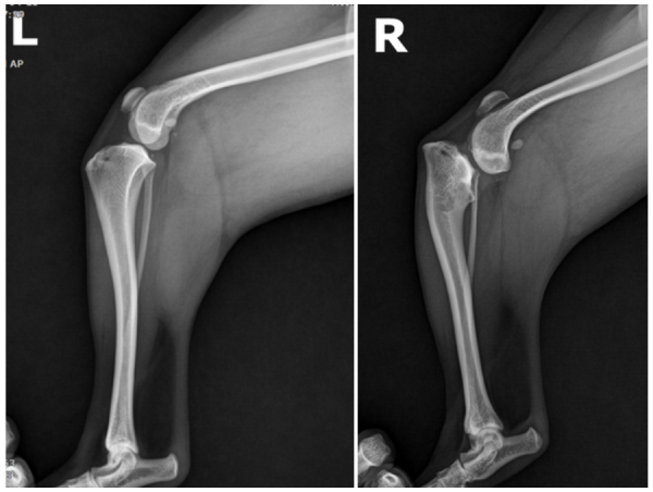
수술 전 방사선 사진

왼쪽 다리에 비해 오른쪽 다리는
강아지 경골 뒤쪽 부분이 눈에 띄게 기울어져 있는 것이 보입니다.
이렇게 뼈의 각도가 심하게 틀어져 있으면 다리가 곧게 펴지지 않을 뿐 아니라
무릎 관절과 십자인대에 가해지는 부담이 커져
통증이 지속적으로 생길 수 있습니다.
또한 이런 경우는 대부분
한쪽 다리만 변형된 것이 아니라 양쪽 다리나 다른 방향으로도
변형이 동반되는 경우가 많습니다.
그래서 여러 각도에서 촬영해 정확하게 평가해야 합니다.

실제로 복돌이의 경우 다리가 바깥으로만
틀어진 게 아니라 함께 회전된 상태였고,
다리를 일자로 맞췄을 때 발이 안쪽으로
돌아가 있는 모습이 확인되었습니다.
수술 전 계획 수립
-오차 없는 수술을 위해 철저히 계획합니다.
이렇게 변형이 심한 경우는 정말로 드뭅니다.
세계적으로도 수술 사례가 많지 않을 만큼
아주 복잡하고 난이도가 높은 수술이었습니다.
(특히 복돌이처럼 뼈의 각도 차이가 큰 경우는 거의 없습니다.)
그렇지만 저희 병원을 믿고 찾아주신 보호자님과
힘들어하는 복돌이를 위해 최선을 다해 준비하고 수술에 임했습니다.
무엇보다 강아지 경골 기형 교정 수술(eTPA수술)과
같이 고난도 수술이 가능했던 건
정형외과 전문의이자 수의외과 분야의
최고라 할 수 있는 이승진 원장님이 계셨기에 가능한 일 이었습니다.

수술 전에는 CT 촬영을 통해 방사선(X-ray)으로는 확인할 수 없는
정교한 뼈 구조와 관절면의 위치를 세밀하게 분석했습니다.
그 결과, 관절면의 접촉 부위가 한쪽으로 치우쳐 있는 것도 확인되었습니다.

이후 예비 수술 프로그램을 이용해
가상의 환경에서 실제 수술을 시뮬레이션하며
안전하고 정확한 수술 계획을 세웠습니다.

다소 이해하기 쉽지 않은
강아지 경골 기행 교정 수술의 과정을 쉽게 이해시켜드리기 위해
보호자님께도 수술 전 동의서 작성 시 모식도로 설명을 드렸습니다.
수술 후 영상검사
사실 보기에는 쉬워보여도 주변에 근육과 인대가 많아서
정확히 수술하는 것은 매우 어려웠습니다.
그러나 수술 후 영상검사 시 정확하고 완벽하게 수술이 된 것을 확인할 수 있었습니다.

/
복돌이는 수술 후 건강하게 회복하고
현재는 뼈도 완전히 붙은 상태입니다.
회복 과정 중 힘든 순간도 있었지만,
꾸준히 관리해 주신 보호자님의 정성과 사랑 덕분에
이렇게 좋은 결과를 만들 수 있었습니다.
앞으로도 복돌이가 아프지 않고 행복하게 지내길 바랍니다.
이번 사례로 강아지 경골과 경골 기형 교정 수술(eTPA수술)에 대해 이해하게 되셨을까요?
이승진동물의료센터는 이처럼 어려운 고난도 수술도
더 정확하고 안전하게 진행하기 위해 항상 노력하는 병원이 되겠습니다.